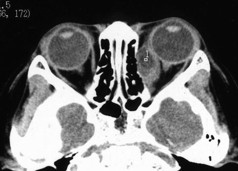
患者男性10岁。籍贯河南。 左眼球渐进性突出,间断红肿2年。曾用抗生素+激素治疗有效。但反复发作,眼球突出加重。于2000年5月住院治疗。入院检查:全身正常。眼科检查:双眼视力1.0。左眼眼睑无红肿,眼球突出测量:右眼12㎜,左眼18㎜,眶距95㎜。眶压增高,眼球突出,轻度外移位,内收明显受限,外展仅30°(图1)。眼底后极部轻度水肿。CT扫描如图2。入院期间左眼突然红肿,眼球突出加重,眶压增高,轻度恶心(图3)。


 1. 诊断 2. 鉴别诊断 3. 如何分析CT片 4. 进一步检查 5. 治疗方案
|