AccessLangeGeneral Ophthalmology
Vaughan, Asbury, Riordan-Eva :
AccessMedicine.com
HomeAboutAccount ServicesBuy BooksSite MapHelpLogoutAccessMedicine HomeAccessMedicine Publications
Full TOC

Related Sites
Forum

Chapter 5: Conjunctiva

CONJUNCTIVITIS DUE TO AUTOIMMUNE DISEASE

KERATOCONJUNCTIVITIS SICCA (ASSOCIATED WITH SJÖGREN'S SYNDROME)

Sjögren's syndrome is a systemic disease characterized by a triad of disorders: keratoconjunctivitis sicca, xerostomia, and connective tissue dysfunction (arthritis). To establish the diagnosis of Sjögren's syndrome, at least two of the three disorders must be present. The disease is overwhelmingly more common in women at or beyond the menopause than in other groups, though men and younger women can also be affected. The lacrimal gland is infiltrated with lymphocytes and occasionally with plasma cells, and this leads to atrophy and destruction of the glandular structures.

Keratoconjunctivitis sicca is characterized by bulbar conjunctival hyperemia (especially in the palpebral aperture) and symptoms of irritation that are out of proportion to the mild inflammatory signs. It often begins as a mild conjunctivitis with a mucoid discharge. Blotchy epithelial lesions appear on the cornea, more prominently in its lower half, and filaments may be seen. Pain builds up in the afternoon and evening but is absent or only slight in the morning. The tear film is diminished and often contains shreds of mucus. Results of the Schirmer test are abnormal (see Chapter 4). Rose bengal or lissamine green staining of the cornea and conjunctiva in the palpebral aperture is a helpful diagnostic test.

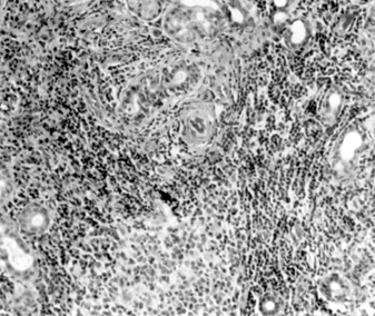
The diagnosis is confirmed by demonstrating lymphocytic and plasma cell infiltration of the accessory salivary glands in a labial biopsy obtained by means of a simple surgical procedure (Figure 5-15).


Figure 5-15

Figure 5-15: Mononuclear infiltration of the accessory salivary glands of a patient with Sjögren's syndrome. (Courtesy of K Tabbara.)

Treatment should be directed toward preserving and replacing the tear film with artificial tears, with obliteration of the puncta, and with side shields, moisture chambers, and Buller shields. As a rule, the simpler measures should be tried first.

CICATRICIAL PEMPHIGOID

This disease usually begins as a nonspecific chronic conjunctivitis that is resistant to therapy. The conjunctiva may be affected alone or in combination with the mouth, nose, esophagus, vulva, and skin. The conjunctivitis leads to progressive scarring, obliteration of the fornices (especially the lower fornix), and entropion with trichiasis. The patient complains of pain, irritation, and blurring of vision. The cornea is affected only secondarily as a result of trichiasis and lack of the precorneal tear film. The disease is more severe in women than in men. It is typically a disease of middle life, occurring very rarely before age 45. In women, it may progress to blindness in a year or less; in men, progress is slower, and spontaneous remission sometimes occurs.

Conjunctival biopsies may contain eosinophils, and the basement membrane will stain positively with certain immunofluorescent stains (IgG, IgM, IgA complement). Oral dapsone and immunosuppressive therapy (eg, sulfapyridine) have been effective in some cases. Treatment must always be instituted at an early stage, prior to the onset of significant scarring. Generally, the course is long and the prognosis poor, with blindness due to complete symblepharon and corneal desiccation the usual outcome.

 
PREVIOUS | NEXT
 
 
Page: 1 | 2 | 3 | 4 | 5 | 6 | 7 | 8 | 9 | 10 | 11 | 12 | 13 | 14
 
 

10.1036/1535-8860.ch5

Copyright ©2002-2003 The McGraw-Hill Companies. All rights reserved.
Any use is subject to the Terms of Use and Notice. Additional credits and copyright information. For further information about this site contact tech_support@accessmedicine.com.
Last modified: October 15, 2002 .
McGraw-HillEducation
The McGraw-Hill Companies
Top