AccessLangeGeneral Ophthalmology
Vaughan, Asbury, Riordan-Eva :
AccessMedicine.com
HomeAboutAccount ServicesBuy BooksSite MapHelpLogoutAccessMedicine HomeAccessMedicine Publications
Full TOC

Related Sites
Forum

Chapter 7: Uveal Tract & Sclera

UVEITIS

The term "uveitis" denotes inflammation of the choroid (choroiditis), ciliary body (intermediate uveitis, cyclitis, peripheral uveitis, or pars planitis), or iris (iritis). However, common usage includes inflammation of the retina (retinitis), retinal vasculature (retinal vasculitis), and optic nerve (optic neuritis). Uveitis may also occur secondary to inflammation of the cornea (keratitis), sclera (scleritis), or both (sclerokeratitis). Uveitis usually affects people 20-50 years of age and accounts for 10-15% of cases of legal blindness in developed countries.

Clinical Findings

A. Symptoms and Signs

(Table 7-1) Inflammation of the uveal tract has many causes and may involve one or more regions of the eye simultaneously.

Table 7-1: Differentiation of granulomatous and nongranulomatous uveitis.


Anterior uveitis is most common and is usually unilateral and acute in onset. Typical symptoms include pain, photophobia, and blurred vision. Examination usually reveals circumcorneal redness with minimal palpebral conjunctival injection or discharge. The pupil may be small (miosis) or irregular due to the formation of posterior synechiae. Inflammation limited to the anterior chamber is called "iritis"; inflammation involving both the anterior chamber and the anterior vitreous is called "iridocyclitis." Corneal sensation and intraocular pressure should be checked in every patient with uveitis. Decreased sensation can suggest herpes simplex or herpes zoster infection, whereas increased intraocular pressure can occur with herpes simplex, herpes zoster, or toxoplasmosis, with sarcoidosis, or with an uncommon form of iridocyclitis called glaucomatocyclitic crisis, or Posner-Schlossman syndrome. Clumps of white cells and inflammatory debris-keratic precipitates-are usually evident on the corneal endothelium. Keratic precipitates may be large ("mutton fat," or granulomatous), small (nongranulomatous), or stellate. Granulomatous or nongranulomatous keratic precipitates are usually located inferiorly, particularly in a wedge-shaped region known as Arlt's triangle. Stellate keratic precipitates are usually distributed evenly over the entire corneal endothelium. They are seen in uveitis due to herpes simplex virus, herpes zoster virus, toxoplasmosis, Fuchs' heterochromic iridocyclitis, and sarcoidosis. Iris nodules may be present at the iris margin (Koeppe nodules), within the iris stroma (Busacca nodules), or in the anterior chamber angle (Berlin's nodules). Evidence for granulomatous disease, such as mutton fat keratic precipitates or iris nodules, may indicate sarcoidosis or an infectious cause of uveitis. Particularly severe anterior chamber inflammation may result in layering of inflammatory cells in the inferior angle (hypopyon). The iris should be examined carefully for evidence of atrophy or transillumination, which can occur in the setting of herpes simplex or herpes zoster virus infection, or with Fuchs' heterochromic iridocyclitis. The presence of anterior or posterior synechiae (Figures 7-2,7-3 to 7-4) should also be noted, as this can predispose the patient to glaucoma.


Figure 7-2

Figure 7-2: Anterior synechiae (adhesions). The peripheral iris adheres to the cornea. Glaucoma may result.


Figure 7-3

Figure 7-3: Posterior synechiae. The iris adheres to the lens. Iris seclusion, iris bombé, and glaucoma may result.


Figure 7-4

Figure 7-4: Posterior synechiae (anterior view). The iris is adherent to the lens in several places as a result of previous inflammation, causing an irregular, fixed pupil. Appropriate treatment with corticosteroids and cycloplegic agents can often prevent such synechiae.

Intermediate uveitis, also called cyclitis, peripheral uveitis, or pars planitis, is the second most common type of intraocular inflammation, the hallmark of which is vitreous inflammation. Intermediate uveitis is typically bilateral and tends to affect patients in their late teens or early adult years. Men are affected more commonly than women. Typical symptoms include floaters and blurred vision. Pain, photophobia, and redness are usually absent or minimal. The most striking finding on examination is vitritis, often accompanied by vitreous condensates, either free-floating as "snowballs" or layered over the pars plana and ciliary body as "snowbanking." Mild anterior chamber inflammation may be present, but if significant, the uveitis is more appropriately termed diffuse (see below). The cause is unknown in over half of patients, though syphilis, tuberculosis, and sarcoidosis should always be considered. The most common complications include cystoid macular edema, retinal vasculitis, and optic nerve head neovascularization.

Posterior uveitis includes retinitis, choroiditis, retinal vasculitis, and optic neuritis, which may occur alone or in combination. Symptoms typically include floaters, loss of visual field or scotomas, or decreased vision, which can be severe. Retinal detachment, though infrequent, occurs most commonly in posterior uveitis and may be tractional, rhegmatogenous, or exudative in nature.

B. Laboratory Testing:

Laboratory testing is usually not required for patients with mild uveitis and a recent history of trauma or surgery-or with clear evidence of herpes simplex or herpes zoster virus infection, such as a concurrent vesicular dermatitis, dendritic or disciform keratitis, or sectoral iris atrophy. Laboratory testing can also be deferred for otherwise healthy and asymptomatic young to middle-aged patients with a first episode of mild to moderately severe acute, unilateral, nongranulomatous iritis or iridocyclitis that responds promptly to treatment with topical corticosteroids and cycloplegics. However, patients with recurrent, severe, bilateral, granulomatous, intermediate, posterior, or diffuse uveitis should be tested, as should any patient whose uveitis fails to respond promptly to standard therapy. Testing for syphilis should include both a Venereal Disease Research Laboratory (VDRL) or rapid plasma reagin (RPR) test and a more specific test for anti-Treponema pallidum antibodies, such as the fluorescent treponemal antibody absorbed (FTA-ABS) test or microhaemagglutination-Treponema pallidum (MHA-TP) test assays. Tuberculosis and sarcoidosis should be excluded by chest x-ray and skin testing using both purified protein derivative (PPD) and controls, such as mumps and candida. A remote history of having received bacille calmette-guerin (BCG) vaccine vaccination should not preclude PPD testing, since a reaction of greater than 5 mm is still considered abnormal. Testing other than for syphilis, tuberculosis, and sarcoidosis should be tailored to findings elicited on history or identified on physical examination. Examples might include an antinuclear antibody (ANA) titer for a young child with chronic iridocyclitis and arthritis suspected of having juvenile rheumatoid arthritis; an HLA-B27 histocompatibility antigen test for patients with arthritis, psoriasis, urethritis, or symptoms consistent with inflammatory bowel disease; or toxoplasmosis IgG and IgM titers for a patient with unilateral diffuse uveitis and focal retinochoroiditis.

Differential Diagnosis

The differential diagnosis for eye redness and decreased vision is extensive and somewhat beyond the scope of this brief overview. However, entities commonly confused with uveitis include conjunctivitis, distinguished by the presence of discharge and redness involving both the palpebral and bulbar conjunctiva; keratitis, distinguished by the presence of epithelial staining or defects or by stromal thickening or infiltrate; and acute angle closure glaucoma, associated with markedly elevated intraocular pressure, corneal haziness and edema, and a narrow anterior chamber angle, often best visualized in the uninvolved eye. (See Inside Front Cover.)

Complications & Sequelae

Anterior uveitis can produce both anterior and posterior synechiae (Figures 7-2,7-3 to 7-4). Anterior synechiae can impede aqueous outflow at the chamber angle and cause glaucoma. Posterior synechiae, when extensive, can also cause secondary angle closure glaucoma, usually by producing pupillary seclusion and forward bulging of the iris (iris bombé). Early and aggressive use of corticosteroids and cycloplegics lessens the likelihood of these complications.

Both anterior and posterior chamber inflammation promote lens thickening and opacification. Early, this can cause a simple shift in refractive error, usually toward myopia. With time, however, cataract progresses and often limits best-corrected vision. Treatment involves removal of the cataract but should be done only when the intraocular inflammation is well controlled, since the risk of intraoperative and postoperative complications is greater in patients with active uveitis. Aggressive use of local and systemic cortico-steroids is usually necessary before, during, and after cataract surgery in these patients.

Cystoid macular edema is a common cause of visual loss in patients with uveitis, typically observed in the setting of severe anterior or intermediate uveitis. Long-standing or recurrent macular edema can cause permanent loss of vision.

Retinal detachments, including tractional, rhegmatogenous, and exudative forms, occur infrequently in patients with posterior, intermediate, or diffuse uveitis. Exudative retinal detachment suggests significant choroidal inflammation and occurs most commonly in association with Vogt-Koyanagi-Harada syndrome, sympathetic ophthalmia, or posterior scleritis.

Treatment

Corticosteroids and cycloplegics are the mainstays of therapy for uveitis. Care should be taken to rule out an epithelial defect and ruptured globe when a history of trauma is elicited and to check corneal sensation and intraocular pressure to rule out herpes simplex or herpes zoster infection. Aggressive topical therapy with 1% prednisolone acetate, 1 or 2 drops in the affected eye every 1 or 2 hours while awake, usually provides good control of anterior inflammation. Prednisolone acetate is a suspension and needs to be shaken 30 or more times prior to each use. Homatropine, 5%, used two to four times daily, helps prevent synechia formation and reduces discomfort from ciliary spasm.

Intermediate, posterior, and diffuse inflammation responds best to posterior sub-Tenon injection of triamcinolone acetonide, usually 1 mL (40 mg) given superotemporally. Oral prednisone, 0.5-1.5 mg/kg/d, can also be effective. Steroid-sparing agents such as methotrexate, azathioprine, cyclosporine, cyclophosphamide, or chlorambucil are often required to treat severe or chronic cases. Concurrent therapy for specific infectious causes of uveitis is indicated as outlined in Table 7-2.

Table 7-2: Treatment of granulomatous uveitis.


Complications of Treatment

Cataract and glaucoma are the most common complications of corticosteroid therapy. Cycloplegics weaken accommodation and can be particularly bothersome to patients under 45 years of age. Because oral corticosteroids or steroid-sparing agents can cause numerous systemic complications, dosing and monitoring are best done in close collaboration with an internist, rheumatologist, or oncologist.

Course & Prognosis

The course and prognosis of uveitis depends to a large extent on the severity, location, and cause of the inflammation. In general, severe inflammation takes longer to treat and is more likely to cause intraocular damage and loss of vision than mild or moderate inflammation; and anterior uveitis responds more promptly than intermediate, posterior, or diffuse uveitis. Retinal, choroidal, or optic nerve involvement tends to be associated with a poorer prognosis.

ANTERIOR UVEITIS (TABLE 7-3)

1. UVEITIS ASSOCIATED WITH JOINT DISEASE

About 20% of children with the pauciarticular form of juvenile rheumatoid arthritis (JRA) develop a chronic, bilateral, nongranulomatous iridocyclitis. Girls are affected four to five times more commonly than boys. JRA-associated uveitis is usually detected at 5-6 years of age following the insidious onset of a difference in color of the two eyes (heterochromia), a difference in the size or shape of the pupil (anisocoria), or ocular misalignment (strabismus). Often these findings are first noted at a screening vision test performed at school. There is no correlation between the onset of the arthritis and that of the uveitis, which may precede the onset of arthritis by up to 10 years. The knee is the most commonly involved joint. The cardinal signs of the disease are cells and flare in the anterior chamber, small to medium-sized white keratic precipitates with or without flecks of fibrin on the endothelium, posterior synechiae often progressing to seclusion of the pupil, and cataract. Band keratopathy, secondary glaucoma, and cystoid macular edema can also be present and cause loss of vision. Patients suspected of having JRA should be evaluated by a rheumatologist and tested for a positive ANA titer.

Table 7-3: Causes of anterior uveitis.
Autoimmune
Juvenile rheumatoid arthritis
Ankylosing spondylitis
Reiter's syndrome
Ulcerative colitis
Lens-induced uveitis
Sarcoidosis
Crohn's disease
Psoriasis
Infections
Syphilis
Tuberculosis
Leprosy (Hansen's disease)
Herpes zoster
Herpes simplex
Onchocerciasis
Leptospirosis
Malignancy
Masquerade syndrome
Retinoblastoma
Leukemia
Lymphoma
Malignant melanoma
Other
Idiopathic
Traumatic uveitis, including penetrating injuries
Retinal detachment
Fuchs' heterochromic iridocyclitis
Glaucomatocyclitic crisis (Posner-Schlossman syndrome)

Treatment of JRA-associated uveitis is challenging. Topical corticosteroids, nonsteroidal anti-inflammatory agents, and cycloplegics are of value. In resistant cases, systemic immunosuppression with cortico-steroids, methotrexate, or both may be required to control the disease. The prognosis for cataract surgery is guarded, and intraocular lens implantation is usually contraindicated.

Up to 50% of patients with ankylosing spondylitis develop anterior uveitis. There is a marked preponderance for men. The uveitis can vary in severity from mild to severe and often produces pain, photophobia, and blurred vision. Limbal injection can be present. Keratic precipitates, though usually present, are never granulomatous, and iris nodules do not occur. Posterior synechiae, peripheral anterior synechiae, cataracts, and glaucoma are common complications following severe, recurrent, or poorly controlled bouts of inflammation. Macular edema is uncommon but can occur. Recurrence is the rule and may involve either eye, though bilateral simultaneous involvement is atypical. The HLA-B27 histocompatibility antigen is present in approximately 50% of patients with acute nongranulomatous iritis or iridocyclitis. Of those patients with anterior uveitis who are HLA-B27-positive, roughly half will experience a nonocular complication of their disease, most commonly ankylosing spondylitis but also psoriatic arthritis, Reiter's disease, and inflammatory bowel disease. Sacroiliac radiographs and colonoscopy can occasionally confirm diagnoses suspected on clinical grounds.

2. FUCHS' HETEROCHROMIC IRIDOCYCLITIS

Fuchs' heterochromic iridocyclitis is uncommon, accounting for less than 5% of all cases of uveitis. The onset is typically insidious during the third or fourth decade of life. Redness, pain, and photophobia are minimal. Patients usually complain of blurred vision, due to cataract. Iris heterochromia, best appreciated with natural lighting, can be subtle. Keratic precipitates are often small and stellate and scattered over the entire endothelium. Telangiectatic blood vessels may be seen in the chamber angle on gonioscopy. Posterior synechiae are uncommon. An anterior vitreous reaction may be present but is usually mild. While loss of stromal pigment tends to make heavily pigmented eyes look hypochromic, stromal atrophy affecting lightly colored irides can actually reveal underlying pigment epithelium on the posterior surface of the iris causing paradoxic hyperchromia. Pathologically, the iris and ciliary body show moderate atrophy with patchy depigmentation and diffuse infiltration of lymphocytes and plasma cells.

Cataract eventually develops in most patients, whereas glaucoma is less common but can occur in 10-15% of cases. The prognosis is excellent; cataract surgery can usually be performed without complication, and most patients with glaucoma can be managed with topical medications.

3. LENS-INDUCED UVEITIS

Lens-induced (phacogenic) uveitis is an autoimmune disease directed against lens antigens. There are no data at present to substantiate the implication that lens material per se is toxic, so the term "phacotoxic uveitis" should be avoided. The classic case occurs when the lens develops a hypermature cataract and the lens capsule leaks lens material into the posterior and anterior chambers. This material elicits an inflammatory reaction characterized by accumulation of plasma cells, mononuclear phagocytes, and a few polymorphonuclear cells. Typical anterior uveitis symptoms of pain, photophobia, and blurred vision are common. Lens-induced uveitis may also occur following lens trauma or cataract surgery with retained lens material. Phacolytic glaucoma is a common complication. Definitive treatment requires removal of the lens material. Concurrent treatment with corticosteroids, cycloplegics, and glaucoma medications is often necessary.

INTERMEDIATE UVEITIS (CYCLITIS, PERIPHERAL UVEITIS, PARS PLANITIS)

Intermediate uveitis affects mainly the intermediate zone of the eye-ciliary body, pars plana, peripheral retina, and vitreous. The cause is unknown in over half of cases, though syphilis, tuberculosis, and sarcoidosis should be ruled out with appropriate laboratory and ancillary testing. Intermediate uveitis is seen mainly among young adults, affects both sexes equally, and is bilateral in up to 80% of cases. Common complaints include floaters and blurred vision. Pain, redness, and photophobia are unusual but can accompany a severe first attack. Adequate examination of the ciliary body, pars plana, and peripheral retina requires use of an indirect ophthalmoscope and scleral depression, which often reveals vitreous condensations in the form of snowballs and snowbanking. Adjacent retinal vasculitis is common. Anterior chamber inflammation is invariably mild, and posterior synechiae are uncommon. Posterior subcapsular cataract and cystoid macular edema are the most common causes of decreased vision. In severe cases, cyclitic membranes and retinal detachments may occur. Secondary glaucoma is rare. Corticosteroids are used mainly to treat cystoid macular edema or retinal neovascularization. Topical corticosteroids should be tried first to identify patients predisposed to develop steroid-induced glaucoma. If no improvement is noted and glaucoma does not occur, a posterior sub-Tenon injection of corticosteroid may be effective. Patients with intermediate uveitis usually do well with cataract surgery.

POSTERIOR UVEITIS (TABLE 7-4)

The retina, choroid, and optic nerve are affected by a variety of infectious and noninfectious disorders, the more common of which are listed in Table 7-4.

Table 7-4: Causes of posterior uveitis.
Infectious disorders
Viruses
CMV, herpes simplex, herpes zoster, rubella, rubeola
Bacteria
Agents of tuberculosis, brucellosis, sporadic and endemic syphilis; Borrelia (Lyme disease); and various hematogenously spread gram-positive and gram-negative pathogens
Fungi
Candida, Histoplasma, Cryptococcus, Aspergillus
Parasites
Toxoplasma, Toxocara, Cysticercus, Onchocerca
Noninfectious disorders
Autoimmune disorders
Behçet's disease
Vogt-Koyanagi-Harada syndrome
Polyarteritis nodosa
Systemic lupus erythematosus
Wegener's granulomatosis
Sympathetic ophthalmia
Retinal vasculitis
Malignancies
Intraocular lymphoma
Malignant melanoma
Leukemia
Metastatic lesions
Unknown etiology
Sarcoidosis
Serpiginous choroiditis
Acute multifocal placoid pigment epitheliopathy
Birdshot retinochoroidopathy
Retinal pigment epitheliopathy
Multiple evanescent white dot syndrome

Most cases of posterior uveitis are associated with some form of systemic disease. The cause can often be established on the basis of (1) the morphology of the lesions, (2) the mode of onset and course of the disease, or (3) the association with systemic symptoms or signs. Other considerations are the age of the patient and whether involvement is unilateral or bilateral. Laboratory and ancillary tests are often helpful.

Lesions of the posterior segment of the eye can be focal, multifocal, geographic, or diffuse. Those that tend to cause clouding of the overlying vitreous should be differentiated from those that give rise to little or no vitreous cells. The type and distribution of vitreous opacities should be described. Inflammatory lesions of the posterior segment are generally insidious in onset, but some may be accompanied by abrupt and profound visual loss.

Worldwide, the most common causes of retinitis in immunocompetent patients are toxoplasmosis, syphilis, and Behçet's disease, whereas the most common causes of choroiditis are sarcoidosis, tuberculosis, and Vogt-Koyanagi-Harada syndrome. Inflammatory optic neuritis can be caused by any of these diseases, but multiple sclerosis should always be suspected, particularly when associated with eye pain worsened by movement (Chapter 14). Less common causes of posterior uveitis include intraocular lymphoma, acute retinal necrosis syndrome, sympathetic ophthalmia, and the "white dot" syndromes such as multiple evanescent white dot syndrome (MEWDS) or acute multifocal posterior placoid epitheliopathy (AMPPE).

Diagnosis & Clinical Features

Diagnostic clues and clinical features of the more commonly encountered posterior uveitis syndromes are described below.

A. Age of the Patient:

Posterior uveitis in patients under 3 years of age can be caused by a "masquerade syndrome" such as retinoblastoma or leukemia. Infectious causes of posterior uveitis in this age group include congenital toxoplasmosis, toxocariasis, and perinatal infections due to syphilis, cytomegalovirus, herpes simplex virus, herpes zoster virus, or rubella.

In the age group from 4 to 15 years, the most common causes of posterior uveitis are toxoplasmosis and toxocariasis. Uncommon causes include syphilis, tuberculosis, sarcoidosis, Behçet's disease, and Vogt-Koyanagi-Harada syndrome.

In the age group from 16 to 50 years, the differential diagnosis for posterior uveitis includes syphilis, tuberculosis, sarcoidosis, toxoplasmosis, Behçet's disease, Vogt-Koyanagi-Harada syndrome, and acute retinal necrosis syndrome.

Patients over age 50 years who present with posterior uveitis may have syphilis, tuberculosis, sarcoidosis, intraocular lymphoma, birdshot retinochoroiditis, acute retinal necrosis syndrome, toxoplasmosis, or endogenous endophthalmitis.

B. Laterality:

Unilateral posterior uveitis favors a diagnosis of toxoplasmosis, toxocariasis, acute retinal necrosis syndrome, or endogenous bacterial or fungal infection.

C. Symptoms:

1. Reduced vision- Reduced visual acuity may be present in all types of posterior uveitis but especially in the setting of a macular lesion or retinal detachment. Every patient should be examined for an afferent pupillary defect, which, when present, signifies widespread retinal or optic nerve damage.

2. Ocular injection- Eye redness is uncommon in strictly posterior uveitis but can be seen in diffuse uveitis.

3. Pain- Pain is atypical in posterior uveitis but can occur in endophthalmitis, posterior scleritis, or optic neuritis, particularly when caused by multiple sclerosis.

D. Signs:

Signs important in the diagnosis of posterior uveitis include hypopyon formation, granuloma formation, glaucoma, vitritis, morphology of the lesions, vasculitis, retinal hemorrhages, and scar formation.

1. Hypopyon- Disorders of the posterior segment that may be associated with significant anterior inflammation and hypopyon include syphilis, tuberculosis, sarcoidosis, endogenous endophthalmitis, Behçet's disease, and leptospirosis. When this occurs, the uveitis is more appropriately termed diffuse.

2. Type of uveitis- Anterior granulomatous uveitis may be associated with conditions that affect the posterior retina and choroid, including syphilis, tuberculosis, sarcoidosis, toxoplasmosis, Vogt-Koyanagi-Harada syndrome, and sympathetic ophthalmia. On the other hand, nongranulomatous anterior uveitis may be associated with Behçet's disease, acute retinal necrosis syndrome, intraocular lymphoma, or the white dot syndromes.

3. Glaucoma- Acute glaucoma in association with posterior uveitis can occur with toxoplasmosis, acute retinal necrosis syndrome, or sarcoidosis.

4. Vitritis- Posterior uveitis is often associated with vitritis, usually due to leakage from the inflammatory foci, from retinal vessels, or from the optic nerve head. Severe vitritis tends to occur with infections involving the posterior pole, such as toxoplasmic retinochoroiditis or bacterial endophthalmitis, whereas mild to moderate inflammation usually occurs with primary outer retinal and choroidal inflammatory disorders. Serpiginous choroiditis and presumed ocular histoplasmosis are typically accompanied by little if any vitritis.

5. Morphology and location of lesions-

a. Retina- The retina is the primary target of many types of infectious agents. Toxoplasmosis is the most common cause of retinitis in immunocompetent hosts. The active lesion of toxoplasmosis is generally seen in the company of old, healed scars that may be heavily pigmented. The lesions may appear in a juxtapapillary location and often give rise to retinal vasculitis. The vitreous is generally clouded when large lesions are present. In contrast, retinal infection with herpesviruses, such as cytomegalovirus and varicella-zoster virus, is more common in immunocompromised hosts. Rubella and rubeola virus retinal infections occur primarily in young children, where they tend to produce diffuse pigmentary changes involving the outer retina referred to as "salt and pepper" retinopathy (see Chapter 15).

b. Choroid- The choroid is the primary target of granulomatous processes such as tuberculosis and sarcoidosis. Patients with tuberculosis and sarcoidosis may present with a focal, multifocal, or geographic choroiditis. Both multifocal and diffuse infiltration of the choroid occur in Vogt-Koyanagi-Harada syndrome and sympathetic ophthalmia. Birdshot retinochoroidopathy and presumed ocular histoplasmosis syndrome, in contrast, almost always produce multifocal choroiditis.

c. Optic nerve- Primary inflammatory optic neuritis can occur from syphilis, tuberculosis, sarcoidosis, toxoplasmosis, multiple sclerosis, Lyme disease, intraocular lymphoma, or systemic Bartonella henselae infection, the causative organism in cat-scratch disease. A macular star is often present.

E. Trauma:

A history of trauma is important in patients with uveitis to rule out intraocular foreign body or sympathetic ophthalmia. Surgical trauma, including routine operations for cataract and glaucoma, may introduce microorganisms into the eye and lead to acute or subacute endophthalmitis.

F. Mode of Onset:

The onset of posterior uveitis may be acute and sudden or slow and insidious. Diseases of the posterior segment of the eye that tend to present with sudden loss of vision include toxoplasmic retinochoroiditis, acute retinal necrosis syndrome, and bacterial endophthalmitis. Most other causes of posterior uveitis have a more insidious onset.

1. OCULAR TOXOPLASMOSIS

Toxoplasmosis is caused by Toxoplasma gondii, an obligate intracellular protozoan (Figure 7-5). The ocular lesions may be acquired in utero or following systemic infection. Constitutional symptoms may be mild and easily missed. The domestic cat and other feline species serve as definitive hosts for the parasite. Susceptible women who acquire the disease during pregnancy may transmit the infection to the fetus, where it can be fatal. Sources of human infection include oocysts in soil or airborne in dust, undercooked meat containing bradyzoites (encysted forms of the parasite), and tachyzoites (proliferative form) transmitted across the placenta.


Figure 7-5

Figure 7-5: Toxoplasma cysts in the retina. (Courtesy of K Tabbara.)

Clinical Findings (Figure 7-5)

A. Symptoms and Signs:

Patients with toxoplasmic retinochoroiditis present with a history of floaters and blurred vision. In severe cases there may also be pain and photophobia. The ocular lesions consist of fluffy-white areas of focal necrotic retinochoroiditis that may be small or large and single or multiple. Active edematous lesions are often adjacent to healed retinal scars. Retinal vasculitis and hemorrhage can be observed. Cystoid macular edema can accompany lesions in or near the macula. Iridocyclitis is frequently seen in patients with severe infections, and intraocular pressure may be elevated.

B. Laboratory Findings:

A positive serologic test for T gondii with consistent clinical signs is considered diagnostic. An increase in antibody titer is usually not detected during reactivation, but an elevated IgM titer provides strong evidence for recently acquired infection.

Treatment

Small lesions in the retinal periphery not associated with significant vitritis require no treatment. In contrast, severe or posterior infections are usually treated for 4-6 weeks with pyrimethamine, 25-50 mg daily, and trisulfapyrimidine, 0.5-1 g four times daily. Loading doses of 75 mg of pyrimethamine and 2 g of trisulfapyrimidine should be given at the start of therapy. Patients are usually also given 3 mg of leucovorin calcium twice weekly to prevent bone marrow depression. A complete blood count should be performed weekly during therapy (Table 7-2).

An alternative approach for the treatment of ocular toxoplasmosis consists of administration of clindamycin, 300 mg four times daily, with trisulfapyrimidine, 0.5-1 g four times daily. Clindamycin causes pseudomembranous colitis in 10-15% of patients. Other antibiotics effective in ocular toxoplasmosis include spiramycin and minocycline. Subretinal neovascularization can be treated with argon laser photocoagulation.

Anterior uveitis associated with ocular toxoplasmosis may be treated with topical corticosteroids and cycloplegics. Periocular steroid injections are contraindicated. Topical glaucoma medications are occasionally necessary. Systemic corticosteroids can be used in conjunction with antimicrobial therapy for vision-threatening inflammatory lesions but should never be given alone.

2. HISTOPLASMOSIS

In some areas of the United States where histoplasmosis is endemic (the Ohio and Mississippi River Valley areas), the diagnosis of choroiditis due to presumed ocular histoplasmosis is common. Patients usually have a positive skin test to histoplasmin and demonstrate "punched-out" spots in the posterior or peripheral fundus. These spots are small, irregularly round or oval, and usually depigmented centrally with a finely pigmented border. Peripapillary atrophy and hyperpigmentation occur frequently. Macular lesions may produce subretinal neovascularization, a complication that should be suspected in every patient with presumed ocular histoplasmosis who presents with decreased vision or evidence of subretinal fluid or hemorrhage. Subretinal neovascularization is effectively treated with argon laser photocoagulation.

3. OCULAR TOXOCARIASIS

Toxocariasis results from infection with Toxocara cati (an intestinal parasite of cats) or Toxocara canis (of dogs). Visceral larva migrans is a disseminated systemic infection occurring in a young child (Table 7-5). Ocular involvement rarely occurs in visceral larva migrans.

Table 7-5: Comparison between visceral and ocular larva migrans.


Ocular toxocariasis may occur without systemic manifestations. Children acquire the disease by close association with pets and by eating dirt (pica) contaminated with Toxocara ova. The ingested ova form larvae that penetrate the intestinal mucosa and gain access to the systemic circulation and finally to the eye. The parasite does not infect the intestinal tract of humans.

Clinical Findings

A. Symptoms and Signs:

The disease is usually unilateral. Toxocara larvae lodge in the retina and die, leading to a marked inflammatory reaction and local production of Toxocara antibodies. Children are typically brought to the ophthalmologist because of a red eye, blurred vision, or a whitish pupil (leukocoria).

Three clinical presentations are recognized: (1) a localized posterior granuloma, usually near the optic nerve head or fovea; (2) a peripheral granuloma involving the pars plana, often producing an elevated mass that mimics the snowbank of intermediate uveitis; and (3) chronic endophthalmitis.

B. Laboratory Findings:

Characteristic clinical findings and a positive enzyme-linked immunosorbent assay (ELISA) for anti-Toxocara antibodies, even at low titer, confirm the diagnosis of ocular toxocariasis. Negative ELISAs are common but do not rule out the possibility of ocular infection. Positive antibody titers of the ocular fluids from patients with suspected ocular toxocariasis have been demonstrated in the setting of a negative serum ELISA, but the test is not routinely available and in any case seldom necessary.

Treatment

Systemic or periocular injections of corticosteroids should be given when there is evidence of significant intraocular inflammation. Vitrectomy may be necessary in patients with marked vitreous opacity or with significant preretinal traction. Systemic anthelmintic therapy is not indicated for limited ocular disease and in fact may worsen the inflammation by producing more rapid killing of the intraocular parasite.

4. ACQUIRED IMMUNODEFICIENCY SYNDROME

Uveitis is common in patients infected with the human immunodeficiency virus (HIV), particularly in advanced stages of the illness when AIDS develops. (See Chapter 15.) CD4 T lymphocyte counts are a good predictor of the risk of opportunistic infections, with the majority occurring at counts of <100 cells/0x0003bcL. Uveitis occurs most commonly in the setting of posterior segment infection. Cytomegalovirus retinitis, a geographic retinitis often accompanied by hemorrhage, occurs in 30-40% of HIV-positive patients at some point in the course of their illness. Other herpesviruses such as varicella-zoster and herpes simplex can produce a similar retinitis but are usually distinguished by a very rapid progress. Infections caused by other organisms, such as T gondii, Treponema pallidum, Cryptococcus neoformans, Mycobacterium tuberculosis, and Mycobacterium avium-intracellulare occur in less than 5% of HIV-positive patients but should be considered, particularly when there is a history of infection or exposure, when choroiditis is present, or when the retinitis is atypical in appearance or fails to respond to antiviral therapy. Intraocular lymphoma occurs in less than 1% of HIV-positive patients but should be considered when the retinitis is atypical or is unresponsive to antiviral treatment, especially when neurologic symptoms are present. Diagnosis usually requires vitreous biopsy.

DIFFUSE UVEITIS (TABLE 7-6)

The term "diffuse uveitis" is used to denote a more or less uniform cellular infiltration of both the anterior and posterior segments. Associated findings such as retinitis, vasculitis, or choroiditis can occur and often prompt further diagnostic testing. Tuberculosis, sarcoidosis, and syphilis should always be considered in patients with diffuse uveitis. Less common causes include sympathetic ophthalmia, Vogt-Koyanagi-Harada syndrome, Behçet's disease, birdshot retinochoroiditis, and intraocular lymphoma.

Table 7-6: Causes of diffuse uveitis.
Sarcoidosis
Tuberculosis
Syphilis
Onchocerciasis
Leptospirosis
Brucellosis
Sympathetic ophthalmia
Behçet's disease
Multiple sclerosis
Cysticercosis
Vogt-Koyanagi-Harada syndrome
Masquerade syndrome: retinoblastoma, leukemia
Retained intraocular foreign body

1. TUBERCULOUS UVEITIS

Tuberculosis can cause any type of uveitis but deserves special consideration when granulomatous keratic precipitates or iris or choroidal granulomas are present. Such granulomas, or tubercles, consist of giant and epithelioid cells. Caseating necrosis is characteristic on histopathologic examination. Although the infection is said to be transmitted from a primary focus elsewhere in the body, uveal tuberculosis is uncommon in patients with active pulmonary tuberculosis (see Chapter 15). Evaluation should include a chest x-ray and skin testing with both PPD and positive controls such as mumps and candida. Treatment should involve three or more antituberculous medicines for 6-12 months. (See Table 7-2.)

2. SARCOIDOSIS

Sarcoidosis is a chronic granulomatous disease of unknown cause, usually presenting in the fourth or fifth decade of life. Pulmonary involvement occurs in over 90% of patients. Virtually every other organ system can be involved, including the skin, bones, liver, spleen, central nervous system, and eyes. The tissue reaction is much less severe than in tuberculous uveitis, and caseation does not occur. Anergy on skin testing supports the diagnosis. When the parotid glands are involved, the disease is called uveoparotid fever, or Heerfordt's disease. When the lacrimal glands are involved, the disease is called Mikulicz's syndrome.

Uveitis occurs in approximately 25% of patients with systemic sarcoidosis. As with tuberculosis, any form of uveitis can occur, but sarcoid deserves special consideration when the uveitis is granulomatous or when retinal phlebitis is present, particularly in black patients.

The diagnosis can be supported by an abnormal chest x-ray, especially when hilar adenopathy is pres-ent, or by elevated serum angiotensin-converting enzyme, lysozyme, or calcium levels. The strongest evidence comes from histopathologic demonstration of noncaseating granulomas in affected tissues such as lung or conjunctiva. However, biopsies should only be taken when suspicious lesions are clearly evident. A gallium scan of the head, neck, and thorax can provide evidence for subclinical inflammation of the lacrimal, parotid, or salivary glands or of paratracheal or pulmonary lymph nodes.

Corticosteroid therapy given early in the disease may be effective, but recurrences are common. Long-term therapy may require the use of steroid-sparing agents such as methotrexate or azathioprine (Table 7-2).

3. SYPHILIS

Syphilis is an uncommon but treatable cause of uveitis. Intraocular inflammation occurs almost exclusively during the secondary and tertiary stages of infection. All types of uveitis occur. Associated retinitis or optic neuritis is common. Widespread atrophy and hyperplasia of the retinal pigment epithelium can occur late if untreated. Testing should include one of the commonly used (and less expensive) tests for the production of T pallidum-induced anticardiolipin antibodies, such as the VDRL or RPR test, as well as a test for the more specific anti-T pallidum antibodies such as the FTA-ABS or MH-ATP. While the FTA-ABS and MH-ATP tests display high sensitivity and specificity during both secondary and tertiary stages of infection, the VDRL and RPR can be falsely negative in up to 30% of patients with late or latent disease. Falsely positive results can occur in the setting of other spirochetal infections, biliary cirrhosis, or collagen-vascular disease, whereas falsely negative results can occur in severely immunocompromised patients. Patients with uveitis and a positive serologic test for syphilis should undergo examination of the cerebrospinal fluid to rule out neurosyphilis. Treatment consists of aqueous crystalline penicillin G, 2-4 million units, given intravenously every 4 hours for 10 days.

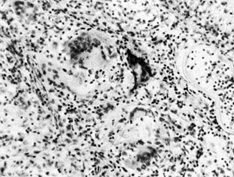
4. SYMPATHETIC OPHTHALMIA (Figure 7-6)

Sympathetic ophthalmia is a rare but devastating bilateral granulomatous uveitis that comes on 10 days to many years following a perforating eye injury. Ninety percent of cases occur within 1 year after injury. The cause is not known, but the disease is probably related to hypersensitivity to some element of the pigment-bearing cells in the uvea. It very rarely occurs following uncomplicated intraocular surgery for cataract or glaucoma and even less commonly following endophthalmitis.


Figure 7-6

Figure 7-6: Microscopic section of giant cells and lymphocytes in sympathetic ophthalmia involving the choroid. (Courtesy of R Carriker.)

The injured, or exciting, eye becomes inflamed first and the fellow, or sympathizing, eye secondarily. Patients usually complain of photophobia, redness, and blurred vision though the presence of floaters may be the primary complaint. The uveitis is usually diffuse. Soft yellow-white exudates in the deep layer of the retina (Dalen-Fuchs nodules) are sometimes seen in the posterior segment. Serous retinal detachments also occur.

The recommended treatment of a severely injured sightless eye is enucleation within 10 days after injury. The sympathizing eye should be treated aggressively with local or systemic corticosteroids. Other immunosuppressive agents such as cyclosporine, cyclophosphamide, and chlorambucil may be required as well (see Table 7-2). Without treatment, the disease progresses relentlessly to complete bilateral blindness.

UVEITIS IN DEVELOPING COUNTRIES

All forms of uveitis mentioned above occur in developing countries as well, and some, such as toxoplasmosis and tuberculosis, are relatively common. In addition, more than 95% of all HIV-positive patients live in developing countries, particularly in sub-Saharan Africa and Southeast Asia. In these regions, otherwise opportunistic infections such as cytomega lovirus retinitis are increasing at an alarming rate. A few infectious causes of uveitis deserve special mention, since they occur almost exclusively in patients who either live in or visit developing countries.

1. LEPTOSPIROSIS

Uveitis occurs in up to 10% of patients infected with the spirochete Leptospira. Humans are accidental hosts, infected most commonly by contact with or ingestion of infected water supplies. Wild and domestic animals, including rodents, dogs, pigs, and cattle, are the natural hosts and shed large quantities of infectious organisms in their urine. Farmers, veterinarians, and those who work or swim in waters fed by agricultural runoff are at particularly high risk.

Clinical Findings

A. Symptoms and Signs:

Fever, malaise, and headache are common constitutional symptoms. Renal failure and death can occur in up to 30% of untreated patients. The uveitis may be of any type but is typically diffuse and often associated with hypopyon and retinal vasculitis.

B. Laboratory Findings:

Culture of live organisms is only possible early in the infection. Sensitive and specific anti-Leptospira antibody tests are available for use on blood or cerebrospinal fluid. A fourfold rise in antibody titer is strong evidence for recent infection.

Treatment

Treatment of severe infections includes penicillin, 1.5 million units intravenously every 6 hours for 10 days. Less severe infections can be treated with doxycycline, 100 mg given orally twice daily for 7 days. Topical corticosteroids and cycloplegics should be used in conjunction with antibiotic therapy to minimize the complications of anterior uveitis. Posterior sub-Tenon injection of corticosteroids may be necessary for severe intermediate, posterior, or diffuse forms of inflammation.

2. ONCHOCERCIASIS

Onchocerciasis is caused by Onchocerca volvulus. The disease afflicts about 30 million people in Africa and Central America and is a major cause of blindness. It is transmitted by Simulium damnosum, a black fly that breeds in areas of rapidly flowing streams-thus the term "river blindness." Microfilariae picked up from the skin by the fly mature into larvae that become adult worms in 1 year. The adult parasite produces cutaneous nodules 5-25 mm in diameter on the trunk, thighs, arms, head, and shoulders. Microfilariae cause itching, and healing of skin lesions may lead to loss of skin elasticity and areas of depigmentation.

Clinical Findings

A. Symptoms and Signs:

Skin nodules may be seen. The cornea reveals nummular keratitis and sclerosing keratitis. Microfilariae swimming actively in the anterior chamber look like silver threads. Death of the microfilariae causes an intense inflammatory reaction and severe uveitis, vitritis, and retinitis. Focal retinochoroiditis may be seen. Optic atrophy may develop secondary to glaucoma.

B. Laboratory Findings:

The diagnosis of onchocerciasis is made by skin biopsy and microscopic examination looking for live microfilariae.

Treatment

The preferred treatment for onchocerciasis is with nodulectomy and ivermectin. Diethylcarbamazine and suramin have significant toxicity and should be used only when ivermectin is not available.

The great advantage of ivermectin over diethylcarbamazine is that a single oral dose of 100 or 200 0x0003bcg/kg reduces the worm burden in the skin and anterior chamber more slowly and therefore with a significant reduction in systemic and ocular reactions. The reduction also persists longer.

The minimum effective dose remains to be determined. A dose of 100 0x0003bcg/kg may be as effective as 200 0x0003bcg/kg and is associated with fewer of the mild and transient side effects: fever, headache, etc. Treatment is repeated at 6 or 12 months.

Topical therapy with corticosteroids and cycloplegics is helpful for uveitis.

3. CYSTICERCOSIS

Cysticercosis is a common cause of serious ocular morbidity. The disease is endemic in Mexico and other Central and South American countries, with ocular involvement occurring in about one-third of patients. It is caused either by the ingestion of eggs of Taenia solium or by reverse peristalsis in cases of intestinal obstruction caused by adult tapeworms. Eggs mature and embryos penetrate intestinal mucosa, thus gaining access to the circulation. The larva (Cysticercus cellulosae) is the most common tapeworm that invades the human eye.

Clinical Findings

The larvae may reach the subretinal space, producing acute retinitis with retinal edema and subretinal exudates, or the vitreous cavity, where a translucent cyst with a dense white spot formed by the invaginated scolex develops. Larvae may live in the eye for as long as 2 years. Death of the larvae inside the eye leads to a severe inflammatory reaction. Movements of larvae within the ocular tissue may stimulate a chronic inflammatory reaction and fibrosis. In rare instances, the larva may be seen in the anterior chamber. Involvement of the brain can cause seizures. Focal calcification may be seen in the subcutaneous tissues by x-ray.

Treatment

Treatment of cysticercosis is by surgical removal, usually by pars plana vitrectomy.

 
PREVIOUS | NEXT
 
 
Page: 1 | 2 | 3 | 4 | 5 | 6 | 7
 
 

10.1036/1535-8860.ch7

Copyright ©2002-2003 The McGraw-Hill Companies. All rights reserved.
Any use is subject to the Terms of Use and Notice. Additional credits and copyright information. For further information about this site contact tech_support@accessmedicine.com.
Last modified: October 15, 2002 .
McGraw-HillEducation
The McGraw-Hill Companies
Top